Dental Bonding For Diastema . you have something known as a diastema, a gap between two of your teeth, most commonly found between the front. diastema closure using direct bonding ( front wing technique) a. dental bonding (direct composite bonding) dental bonding is an affordable restorative treatment option that fixes chipped, cracked, spaced, or damaged teeth. dental bonding has emerged as a popular option for diastema therapy, providing a simple but efficient technique. can tooth bonding be a viable procedure to close spaces between the teeth in the front of the mouth?
from www.drlinger.com
can tooth bonding be a viable procedure to close spaces between the teeth in the front of the mouth? you have something known as a diastema, a gap between two of your teeth, most commonly found between the front. dental bonding (direct composite bonding) dental bonding is an affordable restorative treatment option that fixes chipped, cracked, spaced, or damaged teeth. diastema closure using direct bonding ( front wing technique) a. dental bonding has emerged as a popular option for diastema therapy, providing a simple but efficient technique.
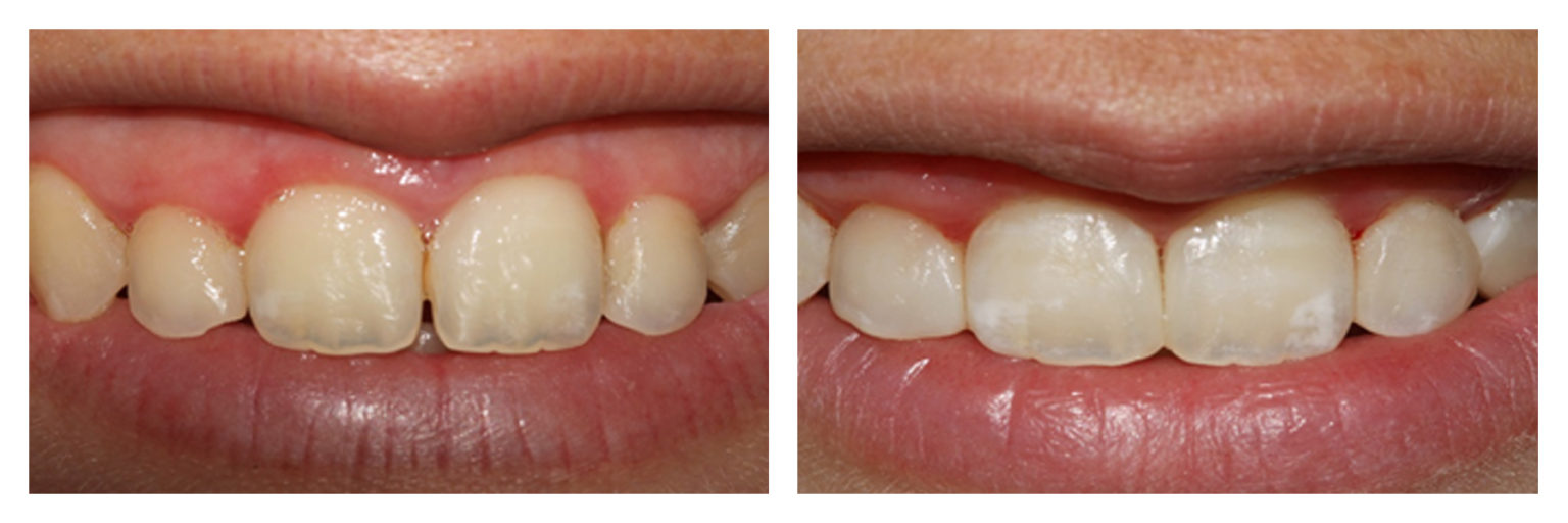
Bioclear Dental Bonding Charlotte NC William Linger, DDS, MAGD
Dental Bonding For Diastema can tooth bonding be a viable procedure to close spaces between the teeth in the front of the mouth? dental bonding (direct composite bonding) dental bonding is an affordable restorative treatment option that fixes chipped, cracked, spaced, or damaged teeth. can tooth bonding be a viable procedure to close spaces between the teeth in the front of the mouth? you have something known as a diastema, a gap between two of your teeth, most commonly found between the front. dental bonding has emerged as a popular option for diastema therapy, providing a simple but efficient technique. diastema closure using direct bonding ( front wing technique) a.
From www.sarasotadentistry.com
Diastema Causes and Treatment Options Sarasota Dentistry Dental Bonding For Diastema diastema closure using direct bonding ( front wing technique) a. you have something known as a diastema, a gap between two of your teeth, most commonly found between the front. can tooth bonding be a viable procedure to close spaces between the teeth in the front of the mouth? dental bonding (direct composite bonding) dental bonding. Dental Bonding For Diastema.
From www.bakerstreetdental.com
Brilliant composite bonding results from £245 per tooth Dental Bonding For Diastema diastema closure using direct bonding ( front wing technique) a. you have something known as a diastema, a gap between two of your teeth, most commonly found between the front. can tooth bonding be a viable procedure to close spaces between the teeth in the front of the mouth? dental bonding has emerged as a popular. Dental Bonding For Diastema.
From emeralddental.in
WHAT IS MIDLINE DIASTEMA? EMERALD DENTAL Dental Bonding For Diastema dental bonding (direct composite bonding) dental bonding is an affordable restorative treatment option that fixes chipped, cracked, spaced, or damaged teeth. can tooth bonding be a viable procedure to close spaces between the teeth in the front of the mouth? diastema closure using direct bonding ( front wing technique) a. you have something known as a. Dental Bonding For Diastema.
From www.bakerstreetdental.com
Diastemas Closure Baker Street Dental Dental Bonding For Diastema dental bonding has emerged as a popular option for diastema therapy, providing a simple but efficient technique. dental bonding (direct composite bonding) dental bonding is an affordable restorative treatment option that fixes chipped, cracked, spaced, or damaged teeth. you have something known as a diastema, a gap between two of your teeth, most commonly found between the. Dental Bonding For Diastema.
From venelinov.com
Bonding solution for unwanted diastema Dental Studio Venelinov Dental Bonding For Diastema dental bonding has emerged as a popular option for diastema therapy, providing a simple but efficient technique. you have something known as a diastema, a gap between two of your teeth, most commonly found between the front. dental bonding (direct composite bonding) dental bonding is an affordable restorative treatment option that fixes chipped, cracked, spaced, or damaged. Dental Bonding For Diastema.
From www.myzerodonto.com
Diastema Closure A step by step protocol. MyZerodonto Dental Bonding For Diastema dental bonding (direct composite bonding) dental bonding is an affordable restorative treatment option that fixes chipped, cracked, spaced, or damaged teeth. you have something known as a diastema, a gap between two of your teeth, most commonly found between the front. diastema closure using direct bonding ( front wing technique) a. can tooth bonding be a. Dental Bonding For Diastema.
From www.pinterest.com
Diastema Closure Bonded Resin Issaquah, Beautiful Smile, Dental Care Dental Bonding For Diastema can tooth bonding be a viable procedure to close spaces between the teeth in the front of the mouth? you have something known as a diastema, a gap between two of your teeth, most commonly found between the front. diastema closure using direct bonding ( front wing technique) a. dental bonding (direct composite bonding) dental bonding. Dental Bonding For Diastema.
From www.dentevim.com
What are the Treatment Methods for Split Teeth (Diastema Treatment Dental Bonding For Diastema dental bonding (direct composite bonding) dental bonding is an affordable restorative treatment option that fixes chipped, cracked, spaced, or damaged teeth. diastema closure using direct bonding ( front wing technique) a. can tooth bonding be a viable procedure to close spaces between the teeth in the front of the mouth? you have something known as a. Dental Bonding For Diastema.
From www.semanticscholar.org
Figure 6 from Diastema closure using direct bonding restorations Dental Bonding For Diastema you have something known as a diastema, a gap between two of your teeth, most commonly found between the front. dental bonding (direct composite bonding) dental bonding is an affordable restorative treatment option that fixes chipped, cracked, spaced, or damaged teeth. dental bonding has emerged as a popular option for diastema therapy, providing a simple but efficient. Dental Bonding For Diastema.
From www.atlantasmiles.com
Diastema Bonding or Porcelain Veneers? Atlanta Smiles Dentistry Dental Bonding For Diastema can tooth bonding be a viable procedure to close spaces between the teeth in the front of the mouth? you have something known as a diastema, a gap between two of your teeth, most commonly found between the front. dental bonding (direct composite bonding) dental bonding is an affordable restorative treatment option that fixes chipped, cracked, spaced,. Dental Bonding For Diastema.
From www.alamy.com
3d render of diastema closure using bonding procedure. Part 7. Using a Dental Bonding For Diastema dental bonding has emerged as a popular option for diastema therapy, providing a simple but efficient technique. dental bonding (direct composite bonding) dental bonding is an affordable restorative treatment option that fixes chipped, cracked, spaced, or damaged teeth. you have something known as a diastema, a gap between two of your teeth, most commonly found between the. Dental Bonding For Diastema.
From smileconcepts.co.uk
Bioclear Dental Treatment UK Dental Bonding For Diastema dental bonding (direct composite bonding) dental bonding is an affordable restorative treatment option that fixes chipped, cracked, spaced, or damaged teeth. can tooth bonding be a viable procedure to close spaces between the teeth in the front of the mouth? diastema closure using direct bonding ( front wing technique) a. you have something known as a. Dental Bonding For Diastema.
From hwy83dental.com
Diastema Closure With Direct Bonding HWY 83 Dental Dental Bonding For Diastema you have something known as a diastema, a gap between two of your teeth, most commonly found between the front. dental bonding (direct composite bonding) dental bonding is an affordable restorative treatment option that fixes chipped, cracked, spaced, or damaged teeth. can tooth bonding be a viable procedure to close spaces between the teeth in the front. Dental Bonding For Diastema.
From austincreekdental.com
Diastema Bonding Nancy Austin Creek Dental Dental Bonding For Diastema you have something known as a diastema, a gap between two of your teeth, most commonly found between the front. dental bonding has emerged as a popular option for diastema therapy, providing a simple but efficient technique. can tooth bonding be a viable procedure to close spaces between the teeth in the front of the mouth? . Dental Bonding For Diastema.
From austincreekdental.com
Diastema Bonding Nancy Austin Creek Dental Dental Bonding For Diastema dental bonding (direct composite bonding) dental bonding is an affordable restorative treatment option that fixes chipped, cracked, spaced, or damaged teeth. you have something known as a diastema, a gap between two of your teeth, most commonly found between the front. can tooth bonding be a viable procedure to close spaces between the teeth in the front. Dental Bonding For Diastema.
From www.pinterest.es
Diastema closure with six IPS e.max press veneers. Thanks to Cdt Dental Bonding For Diastema you have something known as a diastema, a gap between two of your teeth, most commonly found between the front. can tooth bonding be a viable procedure to close spaces between the teeth in the front of the mouth? diastema closure using direct bonding ( front wing technique) a. dental bonding has emerged as a popular. Dental Bonding For Diastema.
From vipdentalclinic.com.au
How Does Dental Implant Work for Midline Diastema Patients? VIP Dental Bonding For Diastema dental bonding has emerged as a popular option for diastema therapy, providing a simple but efficient technique. can tooth bonding be a viable procedure to close spaces between the teeth in the front of the mouth? diastema closure using direct bonding ( front wing technique) a. you have something known as a diastema, a gap between. Dental Bonding For Diastema.
From www.iasortho.com
Clear Aligner Treatment & Bonding for Diastema by Dr Alina Lazar > IAS Dental Bonding For Diastema you have something known as a diastema, a gap between two of your teeth, most commonly found between the front. dental bonding has emerged as a popular option for diastema therapy, providing a simple but efficient technique. diastema closure using direct bonding ( front wing technique) a. dental bonding (direct composite bonding) dental bonding is an. Dental Bonding For Diastema.